چرا ونیر کامپوزیت خود را در اصفهان به دکتر سمانه علایی بسپارید؟
انتخاب دندانپزشک، مهمترین مرحله در نتیجه نهایی ونیر کامپوزیت است. دکتر سمانه علایی به عنوان متخصص دندانپزشک زیبایی و ترمیمی در اصفهان، با تمرکز ویژه بر روی ونیر کامپوزیتهای طبیعی و بدون آسیب (No-Prep)، تجربه و تخصص خود را در موارد زیر به اثبات رسانده است:
تخصص در تکنیکهای بدون تراش (No-Prep Veneers): ایشان از پیشرفتهترین متدهای روز دنیا استفاده میکنند تا زیبایی را بدون آسیب به مینای دندانهای طبیعی شما به ارمغان آورند.
استفاده از مواد و برندهای نانو سرامیکی برتر:
تمرکز بر برندهایی مانند IPS، توکویاما و کاریزما با هدف تضمین بالاترین کیفیت، طول عمر و زیبایی طبیعی.
طراحی لبخند دیجیتال (DSD): استفاده از تکنولوژیهای روز برای نمایش نتیجه نهایی قبل از شروع کار، برای اطمینان خاطر کامل شما

در این مطلب از سایت دکتر سمانه علایی، بهترین دندانپزشک زیبایی در اصفهان قصد داریم شما را در انتخاب دکتر کامپوزیت در اصفهان یاری کنیم.
ونیر کامپوزیت دندان چیست و چگونه انجام می شود؟
قبل ازاینکه به این مسئله بپردازیم که اساس ونیر کامپوزیت چیست، ابتدا به بررسی مشکلات کامپوزیت دندان در قالب یک ویدئو کی پردازیم و اینکه اساسا چه کسانی نباید کامپوزیت دندان انجام دهند ؟
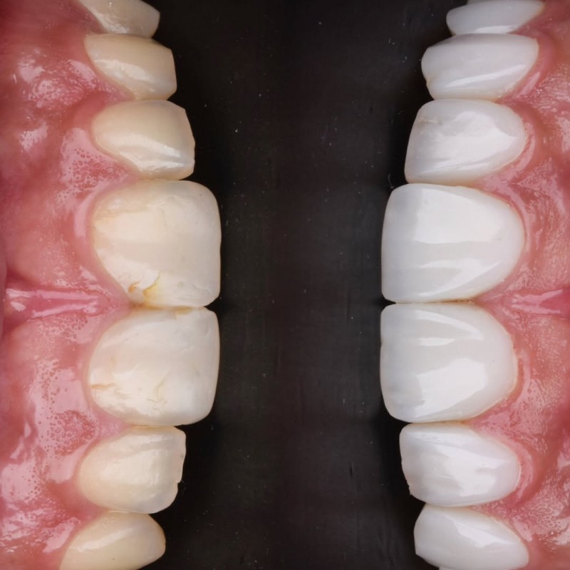
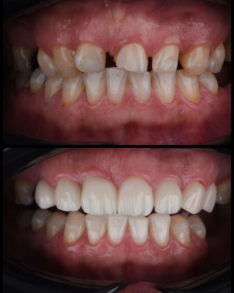
ونیر کامپوزیت دندان یک روش ترمیمی زیبایی است که بعنوان یک لایه نازک از مواد کامپوزیتی بر روی سطح جلویی دندانها قرار میگیرد. این روش به منظور تصحیح شکل، اندازه، رنگ و ظاهر دندانها استفاده میشود و معمولاً به عنوان یک روش زیبایی خیلی شایع در درمانهای دندانپزشکی مورد استفاده قرار میگیرد. ونیر کامپوزیت دندان معمولاً در دندانهای جلویی و خط لبخند و نواحی که از نظر زیبایی حائز اهمیت هستند انجام می گیرد.
برای انجام این درمان، ابتدا روی سطح دندانها ،مداخلاتی انجام میشوند تا اتصال مناسبتری برای قرارگیری ونیر فراهم شود. سپس یک لایه بسیار نازک از ماده کامپوزیت روی سطح دندان قرار میگیرد و با استفاده از نور آبی ، ماده کامپوزیت به دندان چسبیده و سفت میشود. در نهایت، ونیر با استفاده از تکنیکهای خاصی با دقت و حوصله کافی شکل داده و پولیش میشود تا یک ظاهر طبیعی و همسان به دندانها بدهد.ونیر کامپوزیت دندان به عنوان یک روش زیباییشناسی دندانها مورد استفاده قرار میگیرد و معمولاً برای تصحیح دندانهای کوچک، شکستگیهای کوچک، فضای خالی بین دندانها، رنگدهی و اصلاح شکل دندانها استفاده میشود. این روش باعث افزایش زیبایی و جذابیت لبخند شما میشود و به شما اعتماد به نفس بیشتری در ارتباط با ظاهر خود میدهد. برای آشنایی بیشتر با این روش و جزئیات انجام آن پیشنهاد می کنیم مقاله” ونیر کامپوزیت دندان(مزایا، معایب+ماندگاری)” را مطالعه نمایید.
مقایسه ونیر کامپوزیت و لمینت سرامیکی
| ویژگی | ونیر کامپوزیت | لمینت سرامیکی (پرسلن) |
|---|---|---|
| نیاز به تراش دندان | معمولاً خیر (روش بدون تراش) | معمولاً بله (حداقل ۰.۳ تا ۰.۵ میلیمتر) |
| تعداد جلسات | یک جلسه (حدود ۳ تا ۴ ساعت) | دو تا سه جلسه (نیاز به لابراتوار) |
| هزینه | ارزانتر و مقرون به صرفهتر | گرانتر (نیاز به لابراتوار و سرامیک) |
| طول عمر و دوام | ۵ تا ۱۰ سال (نیاز به پولیش سالانه) | ۱۰ تا ۲۰ سال (با مراقبت عالی) |
| قابلیت ترمیم | آسان؛ در مطب قابل ترمیم است | دشوار؛ در صورت شکستگی باید تعویض شود |
| مقاومت در برابر لک | کمتر؛ نیاز به پرهیز از رنگدانههای قوی | بسیار بالا؛ رنگپذیری بسیار کم |
موارد کاربرد ونیر کامپوزیتی عبارتند از:
- تصحیح شکل و اندازه دندانها: ونیر کامپوزیتی میتواند برای تصحیح شکل و اندازه دندانها استفاده شود، به ویژه در مواردی که دندانها کوچک یا نامنظم هستند و به هم ریختگی های محدودی دارند.
- رفع فضای خالی بین دندانها: اگر بین دندانها فضای خالی وجود داشته باشد، ونیر کامپوزیتی میتواند برای پر کردن این فضاها و ایجاد یک ظاهر همسان مشابه دندانهای طبیعی استفاده شود.
- تصحیح رنگ دندانها: ونیر کامپوزیتی میتواند برای تصحیح رنگ دندانها بهکار رود. اگر دندانها رنگ پوسیدگی یا زردی دارند، این روش میتواند برای بهبود رنگ و ظاهر دندانها استفاده شود.
- تصحیح شکستگیهای کوچک: در صورت وجود شکستگیهای کوچک در دندانها، ونیر کامپوزیتی میتواند برای ترمیم این شکستگیها بهکار رود.
- تصحیح نقصهای سطح دندان: اگر دندانها نقصهای سطحی دارند، مانند نقصهای خورده یا سطح ناهموار، ونیر کامپوزیتی میتواند برای تصحیح این نقصها بهکار رود.
- اصلاح ظاهر لبخند: با استفاده از ونیر کامپوزیتی، میتوان ظاهر لبخند را بهبود داد و زیبایی لبخند را افزایش داد.
به طور کلی، ونیر کامپوزیتی به عنوان یک روش سریع و کم درد برای بهبود ظاهر دندانها و افزایش زیبایی لبخند مورد استفاده قرار میگیرد.
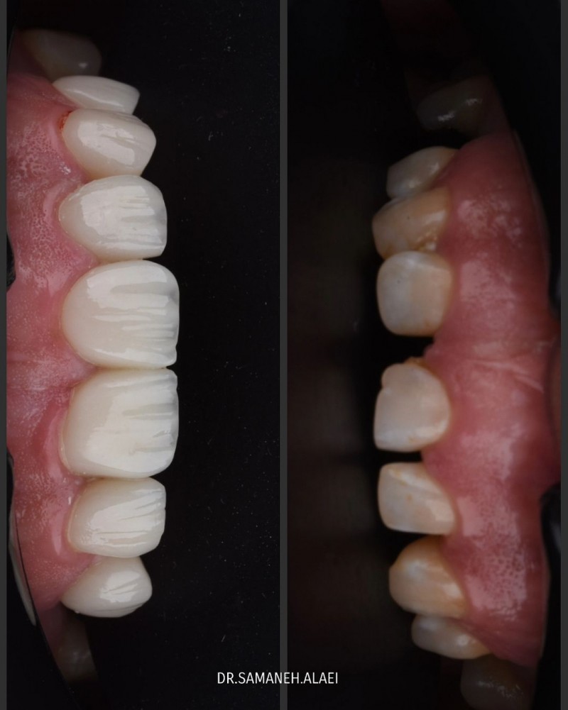
خدمات ونیر کامپوزیت در مطب دکتر سمانه علایی
در مطب دکتر سمانه علایی، خدمات ونیر کامپوزیت با استفاده از جدیدترین متدها و مواد باکیفیت انجام میشود. این روشها به منظور بهبود ظاهر و عملکرد دندانها ارائه میگردد و با توجه به نیاز و شرایط هر بیمار، بهترین نوع کامپوزیت برای درمان انتخاب میشود. هدف این خدمات، ایجاد لبخندی زیبا و طبیعی با حفظ سلامت و ساختار دندانهای شما است. در مطب دندانپزشکی دکتر سمانه علایی،خدمات ونیر کامپوزیت زیر ارائه میشوند:
- کامپوزیت دندان شکسته
- کامپوزیتهای یونیورسال
- کامپوزیتهای فلو
- کامپوزیتهای دندانی قدامی
- کامپوزیتهای دندانی خلفی
- کامپوزیتهای میکرو فیلینگ
- کامپوزیتهای هیبریدی
- کامپوزیتهای نانوهیبرید
مدت زمان انجام ونیر کامپوزیت در مرکز دندانپزشکی دکتر سمانه علایی چقدر است؟
انجام ونیر کامپوزیت بهطور معمول در یک تا دو جلسه کامل میشود. در جلسه اول، مشاوره و بررسیهای اولیه انجام میشود و در صورت نیاز به اصلاحات، آنها در جلسه دوم به کار گرفته میشوند. هر جلسه حدود یک تا دو ساعت زمان میبرد که بسته به تعداد دندانها و نیاز به آمادهسازی آنها متفاوت است.
چه کسانی کاندید مناسب برای انجام ونیر کامپوزیت هستند؟
افرادی که دچار شکستگی، لکههای رنگی یا ناهماهنگیهای جزئی در دندانهای جلویی هستند، کاندید مناسبی برای ونیر کامپوزیت میباشند. همچنین کسانی که به دنبال راهکاری سریع و اقتصادی برای بهبود ظاهر لبخند خود هستند، میتوانند از این روش بهرهمند شوند.
ونیر کامپوزیت iPS در اصفهان
ونیر کامپوزیت iPS یکی از جدیدترین و پیشرفتهترین انواع ونیر کامپوزیت است که در کلینیک دکتر سمانه علایی در اصفهان ارائه میشود. این نوع ونیر با اضافه شدن ذرات ریز سرامیکی، به استحکام و دوام بالاتری نسبت به سایر کامپوزیتها دست یافته است.
همچنین، وجود این ذرات موجب درخشندگی و براقیت بیشتر دندانها میشود، که نتیجهای طبیعیتر و زیباتر به همراه دارد. ونیر کامپوزیت iPS معمولاً تا 6 سال عمر مفید دارد و از نظر استحکام بسیار قابل اعتماد است.
یکی از ویژگیهای مهم این روش، عدم نیاز به تراشیدن دندانها است. همچنین، از لحاظ هزینهای نسبت به روکشهای سرامیکی مقرون بهصرفهتر بوده و به همین دلیل انتخابی مناسب برای بسیاری از بیماران به شمار میرود.
ونیر کامپوزیت بدون تراش در اصفهان
در کلینیک دکتر سمانه علایی، ونیر کامپوزیت بدون تراش با استفاده از جدیدترین متدها در یک جلسه انجام میشود. در این روش، بدون نیاز به تراشیدن دندانها، کامپوزیت مستقیم روی سطح دندان قرار میگیرد. در این فرآیند، ابتدا پس از معاینه دندانها و مشورت با بیمار، رنگ مناسب کامپوزیت انتخاب شده و سپس در همان جلسه، درمان به سرعت انجام میشود.
هزینه ونیر کامپوزیت به دلیل عدم نیاز به لابراتوار و فرآیندهای طولانی، نسبت به لمینت سرامیکی کمتر است. این روش به دلیل عدم نیاز به تراش دندان، سرعت بالای انجام، و هزینه مناسب، یکی از محبوبترین گزینهها برای بهبود زیبایی لبخند در اصفهان است. با این حال، در مواردی که دندانها به اصلاحات بیشتری مانند تغییر شکل یا تنظیم نامنظمی نیاز دارند، لمینتهای سرامیکی گزینه بهتری خواهند بود.
بهترین برندهای کامپوزیت دندان در سال 2026
کیفیت مواد اولیه، نقش مستقیمی در طول عمر و زیبایی کامپوزیت شما دارد. ما در کلینیک دکتر علایی تنها از برندهای سطح اول دنیا استفاده میکنیم:- کامپوزیت IPS (آلمان): این کامپوزیتهای سرامیکی (IPS Empress Direct) به دلیل استحکام فوقالعاده، درخشندگی مشابه لمینت و ثبات رنگ عالی، یکی از بهترین انتخابها برای افرادی است که به دنبال نهایت کیفیت هستند.
- کامپوزیت سارمکو (سوئیس): برندی بسیار محبوب با پولیشپذیری عالی و تنوع رنگی گسترده. رنگهای سری SW (Snow White) این برند برای افرادی که به دنبال لبخند هالیوودی و رنگهای بسیار روشن هستند، ایدهآل است.
- کامپوزیت توکویاما (ژاپن): این برند به دلیل تکنولوژی “Omnichroma” که خود را با رنگ دندان طبیعی تطبیق میدهد، برای ترمیمها و اصلاحات بسیار طبیعی شهرت دارد.
محبوبترین رنگهای کامپوزیت کدامند؟
انتخاب رنگ کاملاً سلیقهای است اما برخی رنگها محبوبیت بیشتری دارند:- رنگهای طبیعی (Natural): طیف رنگی A1, B1, B2 برای افرادی که به دنبال اصلاح فرم با حفظ رنگ طبیعی دندان هستند.
- رنگهای روشن (Bleach): طیف رنگی BL2, BL3 رنگهای سفید و درخشانی هستند اما همچنان رگههای طبیعی دارند.
- رنگهای بسیار سفید (Hollywood Smile): رنگهایی مانند ++SW سارمکو، سفیدترین رنگ موجود برای افرادی است که خواهان لبخندی خیرهکننده هستند.
عوارض احتمالی کامپوزیت و راهکارهای جلوگیری از آن
شفافیت، اساس اعتماد است. ونیر کامپوزیت اگر توسط فرد غیرمتخصص یا با مواد بیکیفیت انجام شود، میتواند عوارضی داشته باشد. ما در کلینیک دکتر علایی با تکنیکهای دقیق، این عوارض را به صفر میرسانیم:| عارضه احتمالی | علت | راهکار پیشگیری در کلینیک ما |
|---|---|---|
| التهاب و خونریزی لثه | قرارگیری نادرست کامپوزیت روی لثه، پولیش نامناسب | فرمدهی دقیق کامپوزیت با فاصله استاندارد از لثه و استفاده از نخ زیر لثه حین کار. |
| جلو آمدن بیش از حد دندان | ایجاد ضخامت زیاد توسط دندانپزشک غیرماهر | طراحی دقیق و لایهبندی کامپوزیت برای جلوگیری از ایجاد ضخامت غیرطبیعی. |
| بوی بد دهان | ایجاد فاصله میکروسکوپی بین دندان و کامپوزیت | استفاده از تکنیکهای باندینگ قوی و پولیش کامل لبهها برای جلوگیری از تجمع باکتری. |
| شکستگی یا لبپریدگی | استفاده از مواد بیکیفیت یا عدم تنظیم صحیح | استفاده از بهترین برندهای نانوسرامیکی و تنظیم دقیق بایت (نحوه قرارگیری دندانها روی هم). |
ویژگی های بهترین دکتر کامپوزیت دندان در اصفهان
برای انتخاب بهترین دکتر ونیر دندان در اصفهان باید به ویژگی های زیر توجه کرد:
- تخصص و صلاحیت:دکتر کامپوزیت خوب، دارای تخصص و صلاحیت بالا در زمینه دندانپزشکی زیبایی و ترمیم دندان است.
- تجربه و مهارت: تجربه و مهارت دکتر کامپوزیت دندان نیز از اهمیت بسیاری برخوردار است. یک دندانپزشک با سابقه و مهارت بالا قادر به انجام بهترین روشها و بهروزترین تکنیکها خواهد بود.
- بهروز بودن: متخصص کامپوزیت باید با آخرین دستاوردها و تکنولوژیهای دندانپزشکی زیبایی آشنا باشد تا بتواند بهترین خدمات را ارائه دهد.
- کیفیت مواد استفاده شده: استفاده از مواد با کیفیت و مطابق با استانداردهای دندانپزشکی، مهم ترین عامل برای دستیابی به نتایج ماندگار و زیباست. یک متخصص کامپوزیت برتر همیشه از بهترین و باکیفیت ترین مواد اولیه استفاده می کند.
- دقت و توجه به جزئیات:دکتر کامپوزیت باید دقت بالا و توجه به جزئیات را در هر مرحله از درمان به کار ببرد تا نتیجه نهایی به دلخواه بیماران باشد.
- مهارتهای ارتباطی:توانایی در برقراری ارتباط مؤثر با بیماران و درک دقیق از نیازها و خواستههای آنها از جمله ویژگیهای اساسی دکتر کامپوزیت خوب است.
- مراقبتهای پس از درمان: متخصص کامپوزیت اصفهان باید مراقبتهای پس از درمان را به طور جدی درنظر بگیرد و برنامهای مناسب برای پیگیری و نظارت بر وضعیت دندانهای ترمیم شده ارائه کند.
- نمونه کارها: نمونه کارهای قبلی دندانپزشک نشاندهنده توانایی و سبک کاری او میباشد و به بیماران اطمینان میدهد که درمان آن ها توسط یک متخصص حرفه ای انجام می شود.
- بازخوردهای مثبت: داشتن بازخوردهای مثبت از بیماران گذشته نشان از رضایت و اعتماد بیماران به دکتر دارد.
- پذیرش و پاسخگویی:دکتر کامپوزیت باید به دقت به نیازها و سوالات بیماران پاسخ دهد.
- اخلاق حرفهای:رفتار حرفهای، اخلاق و احترام به بیماران، از جمله ویژگیهای مهم دکتر کامپوزیت است.
- محیط کلینیک:محیط کلینیک یک متخصص خوب باید بهداشتی، مطمئن و دنج باشد تا تجربه درمان را برای مراجعه کنندگان خوشایند و مثبت کند.

دکتر خوب برای کامپوزیت دندان در اصفهان را چگونه بیابیم؟
برای یافتن متخصص ونیر دندان خوب در اصفهان میتوانید موارد زیر را در نظر بگیرید:
- تحقیق به صورت آنلاین: ابتدا توصیه میشود به صورت آنلاین درباره دندانپزشکان تخصصی در اصفهان جستجو کنید. بررسی کنید که هر دندانپزشک چه نوع تخصص، گواهی نامهها و تجاربی دارد.
- نظرات و بازخوردها: نقدها و نظرات بیماران قبلی را در وبسایتهای معتبر و شبکههای اجتماعی مطالعه کنید.
- نمونه کارها: نمونه کارهای قبلی دندانپزشک را بررسی کنید. بسیاری از دندانپزشکان گالری عکسی از نتایج کاری خود در وبسایت خود دارند.
- مشورت با دوستان و آشنایان: افرادی که تجربه مستقیم در درمان دارند، اغلب میتوانند بینشهای مفیدی ارائه دهند.
- استعلام از مراجع حرفهای: دندانپزشکان عمومی و انجمنهای دندانپزشکی میتوانند منابع مفیدی برای تایید صلاحیتها متخصص مورد نظر باشند.
- مشاوره اولیه: شما میتوانید یک وقت مشاوره اولیه ترتیب دهید تا با دندانپزشک ملاقات کنید، محیط کلینیک را بسنجید و از رویکرد و برنامه درمانی او با خبر شوید.
- پرسش و پاسخ: حین مشاوره، تمام سوالات خود را بپرسید، از جمله درباره تجربه دندانپزشک، تعداد موارد مشابه درمان کامپوزیتی که انجام داده، نوع مواد به کار رفته و ضمانت کاری.

چرا دکتر سمانه علایی بهترین انتخاب برای کامپوزیت در اصفهان است؟
انتخاب دندانپزشک، مهمترین عامل در موفقیت و زیبایی ونیر کامپوزیت است. دکتر سمانه علایی به عنوان متخصص دندانپزشکی زیبایی و ترمیمی، با تمرکز بر رضایت و سلامت شما، خدمات خود را بر پایههای زیر استوار کردهاند:| ویژگی | توضیحات |
|---|---|
| تخصص در تکنیک No-Prep | اجرای ونیر کامپوزیت بدون تراش یا با حداقل تراش ممکن برای حفظ کامل سلامت مینای دندان طبیعی شما. |
| بهترین برندهای دنیا | استفاده انحصاری از برندهای برتر نانوسرامیکی مانند IPS آلمان، توکویاما ژاپن و سارمکو سوئیس برای تضمین حداکثر زیبایی، دوام و ثبات رنگ. |
| طراحی لبخند دیجیتال (DSD) | مشاهده نتیجه نهایی درمان پیش از شروع کار! با تکنولوژی DSD، شما طرح لبخند نهایی خود را میبینید و با اطمینان کامل تصمیم میگیرید. |
| هنر و زیباییشناسی | فرمدهی کامپوزیت یک هنر است. ما با در نظر گرفتن فرم صورت و اجزای لبخند شما، دندانهایی کاملاً طبیعی و منحصربهفرد خلق میکنیم. |
قیمت هر واحد ونیرکامپوزیت در اصفهان
دلیل اختلاف قیمت کامپوزیت در کلینیکهای مختلف چیست؟
اختلاف قیمت ونیر کامپوزیت در کلینیکهای مختلف میتواند به دلایل متعددی مانند نوع مواد مورد استفاده، تجربه و تخصص دندانپزشک، تجهیزات و فناوریهای به کار رفته و موقعیت جغرافیایی کلینیک باشد. در مطب دکتر سمانه علایی، ما از بهترین مواد و جدیدترین فناوریها استفاده میکنیم تا بهترین نتایج ممکن را به بیماران خود ارائه دهیم.تخفیف کامپوزیت دندان در اصفهان
شاید بارها با عناوینی مانند تخفیف کامپوزیت دندان در اصفهان مواجه شده باشید و از خود بپرسید که علت این تخفیفها چیست. در برخی موارد، کلینیکها و مراکز غیرمعتبر با تبلیغ تخفیفهای چشمگیر سعی در جذب بیماران دارند. اما باید توجه داشت که این نوع تبلیغات ممکن است خطراتی به همراه داشته باشد.
در مراکزی که استانداردهای لازم را رعایت نمیکنند، مشکلاتی مانند عفونت، پوسیدگی دندان و سایر عوارض ممکن است برای بیمار رخ دهد. به همین دلیل، انتخاب یک کلینیک معتبر و پزشک با تجربه بسیار اهمیت دارد تا از کیفیت بالای خدمات کامپوزیت و نتایج ایمن و مطلوب اطمینان حاصل کنید.
کامپوزیت دندان ارزان در اصفهان
کامپوزیت دندان ارزان ممکن است به نظر برخی افراد یک گزینه جذاب برای اصلاح دندان ها باشد، اما واقعیت این است اکثر مراکزی که خدمات کامپوزیت ارزان ارائه می دهند از مواد اولیه با کیفیت عالی استفاده نمی کنند. این مواد ممکن است بعد از مدتی از دندان ها جدا شده و باعث ایجاد مشکلات جدی در دهان شوند. بنابراین، بهتر است که به جای تصور اینکه کامپوزیت دندان ارزان یک گزینه مناسب باشد، به دنبال گزینه های با کیفیت تر و از مواد اولیه معتبر باشید.
دکتر سمانه علایی به عنوان یکی از بهترین متخصصان کامپوزیت در اصفهان خدمات خود را علاوه کیفیت بالا با قیمت بسیار مناسب به مراجعه کنندگان خود ارائه می دهند. برای دریافت خدمات باکیفیت می توانید به مطب ایشان به آدرس اصفهان، خیابان شیخ مفید غربی،بین کوچه ۳ و ۵ ،ساختمان سورنا،واحد 8مراجعه نمایید.































