آیا تا به حال جلوی آینه ایستادهاید و آرزو کردهاید کاش لبخندتان کمی درخشانتر، مرتبتر یا جذابتر بود؟ اصلاح طرح لبخند در اصفهان (Smile Makeover) تنها یک درمان دندانپزشکی نیست؛ بلکه هنری است که با تلفیق علم و زیباییشناسی، هارمونی از دست رفته را به چهره شما باز میگرداند.
در کلینیک تخصصی دکتر سمانه علایی، متخصص دندانپزشکی ترمیمی و زیبایی در اصفهان، ما معتقدیم لبخند هر فرد باید امضای شخصی او باشد. در این مقاله جامع، تمامی روشهای مدرن طراحی لبخند، از “هالیوود اسمایل” گرفته تا روشهای نوین دیجیتال، هزینهها و مراحل درمان را بررسی میکنیم تا با آگاهی کامل تصمیم بگیرید.

اصلاح طرح لبخند (Smile Design) دقیقا چیست؟
اصلاح طرح لبخند مجموعهای از درمانهای زیبایی است که برای رفع نقصهای ظاهری دندان و لثه انجام میشود تا لبخندی بینقص خلق شود. این فرآیند بر اساس اصول زیباییشناسی چهره، نسبتهای طلایی (Golden Ratio) و میمیک صورت شما طراحی میشود.
مشکلاتی که با طراحی لبخند برطرف میشوند عبارتند از:
- بد رنگی و لکههای دندانی مقاوم
- فاصله بین دندانی (دیاستم)
- نامرتبیهای جزئی و کجی دندانها
- دندانهای کوتاه، ساییده شده یا لبپر شده
- لبخند لثهای (Gummy Smile)
تاثیر اصلاح طرح لبخند بر زندگی افراد
اصلاح طرح لبخند یکی از روشهای محبوب در دندانپزشکی است که در سال های اخیر طرفداران زیادی را به خود جلب کردن است. از لحاظ علم روانشناسی بعد از چشمان،طرح لبخند زیبا دومین بخش از چهره است که بر زیبایی افراد تاثیر مستقیم می گذارد.
یکی از اصلی ترین تاثیرات اصلاح طرح لبخند بر زندگی افراد، افزایش اعتماد به نفس است. زیبایی و قدرت لبخند میتواند تاثیر بسیار زیادی بر اعتماد به نفس شخص داشته باشد. وقتی که یک فرد از ظاهر و لبخند خود راضی نباشد، ممکن است احساس کمبود اعتماد به نفس کند. اما با اصلاح طرح لبخند و بهبود ظاهر، افراد میتوانند احساس قدرت و اعتماد به نفس بیشتری داشته باشند.

روش های اصلاح طرح لبخند چیست ؟
همانطورکه اشاره کردیم طرح لبخند یکی از مهمترین عوامل زیبایی صورت است. یک لبخند زیبا و جذاب به عنوان نشانهای از سلامت و جوانی در نظر گرفته میشود. اما برخی از مشکلات مانند دندانهای فرسوده، عدم یکنواختی و هماهنگی دندان ها و… میتواند ظاهر زیبایی و جلوه لبخند را تحت تاثیر قرار دهد. در ادامه بررسی روشهای مختلف اصلاح و بهبود طرح لبخند میپردازیم:
باندینگ دندان
باندینگ دندان یکی از روشهای ساده و مقرون به صرفه برای اصلاح دندانهای پوسیده، شکسته یا فاقد هماهنگی است. در این روش، یک ماده رزینی به دندان متصل میشود و سپس با استفاده از نور UV تثبیت میشود. این روش به عنوان یک روش سریع و موثر برای اصلاح دندانهای معیوب مورد توجه قرار میگیرد.
بلیچینگ دندان
بلیچینگ دندان یکی از روشهای معمول برای بهبود رنگ و سفید کردن دندانها است. این روش از مواد شیمیایی مانند پراکسید هیدروژن یا کربامید پراکسید برای حذف لکهها و اصلاح رنگ دندانها استفاده میکند. بلیچینگ دندان میتواند به طور قابل ملاحظهای ظاهر لبخند را بهبود بخشد.(برای مطالعه بیشتر:بلیچینگ دندان برای کودکان؛ هر آنچه باید بدانید! )
ارتودنسی
ارتودنسی یکی از روشهای پرکاربرد و موثر برای اصلاح موقعیت و ترتیب دندانها و فکها است. این روش از ابزارها و دستگاههایی مانند براکتها، وایرها و استنتها برای تنظیم و ترتیب دندانها استفاده میکند.
ایمپلنت دندان
ایمپلنت دندان یک روش جایگزینی دندانهای گمشده و یا فرسوده است. این روش از یک پیچ و پروتز دندان برای جایگزینی دندان از دست ستفاده میکند و میتواند به طور قابل توجهی ظاهر طرح لبخند را بهبود بخشد.
ونیر کامپوزیت
ونیر کامپوزیت یک روش اصلاحی برای بهبود شکل، اندازه و رنگ دندانها است. این روش از مواد کامپوزیتی که به دندان متصل میشوند برای بهبود ظاهر و شکل دندانها استفاده میکند.(بیشتر بدانید:ونیر کامپوزیت بدون تراش در اصفهان )
جراحی فک و صورت
جراحی فک و صورت یک روش اصلاحی برای بهبود موقعیت و ترتیب فکها و صورت است. این روش از جراحیهای فک و صورت برای بهبود شکل و موقعیت فکها و صورت استفاده میکند.
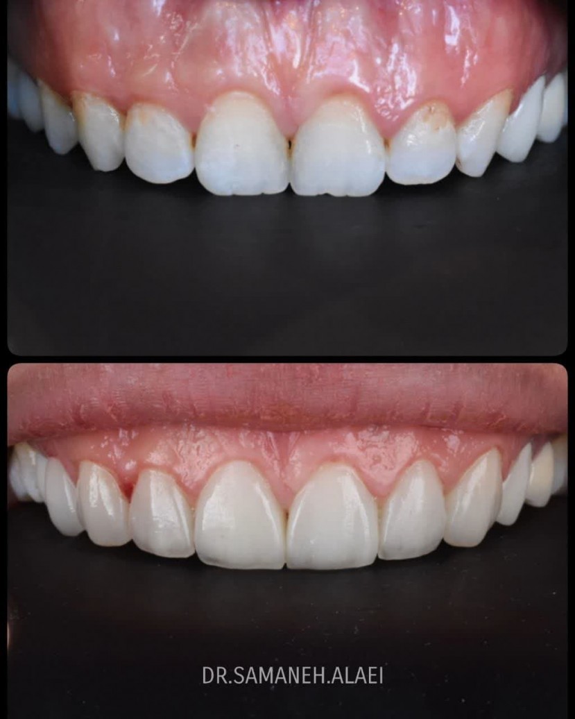
لمینت سرامیکی
این روش یکی از دقیقترین و ماندگارترین روشهای زیبایی دندان است. ونیرها ورقههای بسیار نازکی از جنس سرامیک یا پورسلین هستند که برای پوشش دادن دندانهای جلو با هدف اصلاح شکل، رنگ، اندازه و طول به کار میروند. نصب آنها ممکن است نیاز به تراشیدن لایهای از مینای دندان داشته باشد.(برای اطلاعات بیشتر به صفحه لمینت سرامیکی دندان در اصفهان با دکتر سمانه علایی | مزایا و نمونه درمان 1404مراجعه فرمایید. )
جراحی لثه
این روش برای اصلاح ظاهر لثهها و ایجاد تناسب بیشتر با دندانها است. شکل، ارتفاع و حتی رنگ لثهها میتوانند تغییر کنند تا لبخندی زیباتر ایجاد شود.
تاجها و پلهای دندانی
تاجها به منظور پوشاندن و محافظت از دندانهای آسیب دیده و پلها به منظور جایگزین کردن دندانهایی که از دست رفتهاند، به کار میروند. این ترمیمها میتوانند ساختار و عملکرد دندانها را بهبود بخشند و جنبه زیباییشناسی دارند.
کانتورینگ دندان
این روش شامل تراش یا فرز کردن بخشهای کوچکی از مینای دندان برای اصلاح اندازه و یا شکل دندانها است. در روش کانتورینگ، یک لبخند هماهنگتر و جذابتر ایجاد میشود.
انتخاب روش مناسب برای اصلاح طرح لبخند نیازمند مشاوره با بهترین دندانپزشک اصلاح طرح لبخند در اصفهان و ارزیابی دقیق وضعیت فرد است. با انجام این اصلاحات، میتوان به طرح لبخندی زیبا و جذاب دست یافت و از زیبایی و جلوه فردی بهره مند شد.

مراحل انجام اصلاح طرح لبخند چگونه است؟
برای اینکه بدانید در مطب دکتر سمانه علایی چه چیزی در انتظار شماست، این نقشه راه را مطالعه کنید:
- مشاوره و عکاسی: در جلسه اول وضعیت سلامت دهان بررسی شده و عکسهای حرفهای از چهره و دندانهای شما گرفته میشود.
- طراحی درمان: بر اساس آنالیز صورت، بهترین فرم دندان برای شما طراحی میشود.
- پیشنمایش (Mock-up): در صورت نیاز، طرح موقت روی دندانهای شما قرار میگیرد تا آن را در دهان خود ببینید و نظر دهید.
- آمادهسازی و قالبگیری: دندانها (در صورت نیاز به لمینت) آمادهسازی شده و قالبگیری انجام میشود.
- نصب نهایی: ونیرها یا روکشهای نهایی با دقت میکروسکوپی نصب شده و لبخند جدید شما متولد میشود.
بهترین دکتر برای اصلاح طرح لبخند در اصفهان
یک دکتر دندانپزشک خوب برای اصلاح طرح لبخند در اصفهان باید ویژگی های زیر را داشته باشد:
- مدرک تخصصی و تجربه: دکتر باید دارای مدارک تخصصی رسمی در زمینه دندانپزشکی زیبایی باشد و تجربه کافی در انجام اصلاحات طرح لبخند داشته باشد.
- نمونه کارها: بهترین دکترها معمولاً نمونهکارهای قبل و بعد از درمانهایی که انجام دادهاند را در دسترس دارند.
- تکنولوژی پیشرفته: استفاده از آخرین تکنولوژیها و مواد دندانپزشکی نوین برای ارائه خدمات با بالاترین کیفیت یکی از مهم ترین ویژگی های دندانپزشک اصلاح طرح لبخند در اصفهان است.
- مهارتهای ارتباطی: یک دکتر خوب باید توانایی برقراری ارتباط روشن و صریح با بیماران را داشته باشد تا بتواند نیازها و انتظارات آنها را درک کند.
- درک زیباییشناسی: یکی از اساسی ترین ویژگی متخصص مورد نظر توجه به جزئیات زیباییشناسی و داشتن دید هنری است. این ویژگی کمک می کند نتایج نهایی با ویژگیهای چهرهای بیمار هماهنگ است.
- برخورد حرفهای: ایجاد یک محیط راحت و امن برای بیماران و ایجاد یک تجربه درمانی مثبت یکی از معیارهای انتخاب متخصص مورد نظر است.
- مراقبت پس از درمان: دندانپزشک مورد نظر باید برنامه مراقبتی پس از درمان برای اطمینان از دوام و پایداری نتایج به دست آمده ارائه دهد.
بر اساس این ویژگیها، میتوانید در مورد دکترهای مختلف تحقیق کنید تا بتوانید بهترین گزینه برای خود را پیدا کنید.
هزینه اصلاح طرح لبخند در اصفهان ( بهمن 1404)

هزینه اصلاح طرح لبخند به عوامل متعددی بستگی دارد و میتواند به شدت متغیر باشد. تعیین دقیق قیمت بدون دانستن جزئیات و نیازهای خاص بیمار، نمیتواند با دقت انجام شود. با این حال، برخی از عواملی که بر هزینهها تأثیر میگذارند عبارتند از:
- مکان جغرافیایی: هزینهها در شهرهای بزرگ و مناطقی که هزینه زندگی بالاتر است معمولاً بیشتر است.
- تجربه و مهارت دندانپزشک: متخصصان با تجربه بالاتر ممکن است هزینههای بیشتری برای خدمات خود دریافت کنند.
- مواد و تکنولوژی مورد استفاده: استفاده از آخرین تکنولوژیها و مواد با کیفیت بالا میتواند هزینهها را افزایش دهد.
- نوع درمان: روشهای مختلف درمانی مانند باندینگ، ونیرها، کانتورینگ، ایمپلنت یا بلیچینگ هر کدام هزینههای متفاوتی دارند.
- پیچیدگی مورد درمان: هرچه درمان پیچیدهتر باشد، مانند نیاز به جراحی لثه یا اصلاح وسیع دندانها، معمولاً هزینه بیشتری دارد.
- تعداد دندانهای مورد نیاز برای درمان: هزینه معمولاً با افزایش تعداد دندانهایی که نیاز به درمان دارند، افزایش مییابد.
لازم است قبل از شروع هر نوع درمانی مشاوره دقیق با یک دندانپزشک خوب در اصفهان داشته باشید و یک برآورد قیمت دریافت کنید. دندانپزشکان معمولاً پس از معاینه و شناسایی نیازهای بیمار قادر به ارائه یک استیمیت (برآورد هزینه) هستند. همچنین شرایط پرداخت و امکانات اقساطی احتمالی را مورد بررسی قرار دهید.
برای اطلاع دقیق از هزینه اصلاح طرح لبخند در اصفهان از مطب خانم دکتر سمانه علایی می توانید با شماره ی 31313023-031 تماس بگیرید. یا به صورت حضوری به مطب ایشان به نشانی اصفهان،خیابان شیخ صدوق شمالی، روبروی بانک شهر، نبش کوچه 36، ساختمان پارتاک، واحد 8 مراجعه کنید.










